Дорогие пациенты! Поздравляем Вас с наступающими праздниками и ждем в гости 🎄

Лабань Сергей Анатольевич

врачебный стаж с 2015 года
более 2 850 пациентов
Врач стоматолог-ортопед

бесплатная консультация
Медицинская деятельность начата с 2015 года и по настоящее время.

Специализация
  • врач стоматолог-ортопед
Профессиональные навыки:
  • Все виды съемного протезирования (пластиночные протезы, бюгельные протезы с различными видами фиксации, съемные протезы с опорой на имплантанты на балке)
  • Несъемное протезирование (вкладки, коронки, мостовидные протезы)
  • Безметалловые конструкции (виниры, люминиры, коронки диоксид циркония)
  • Протезирование на имплантах
2015 г. — Диплом по специальности «стоматология» Первый Московский государственный медицинский университет им. И.М. Сеченова, Москва

2016 г. — Интернатура по специальности «врач общей практики» Российский Университет Дружбы Народов, Москва

2016 г. — Сертификат по специальности «врач общей практики»

2016 г. — Диплом по специальности «Стоматология ортопедическая», Российский Университет Дружбы Народов, Москва

2016 г. — Сертификат по специальности «стоматология терапевтическая»
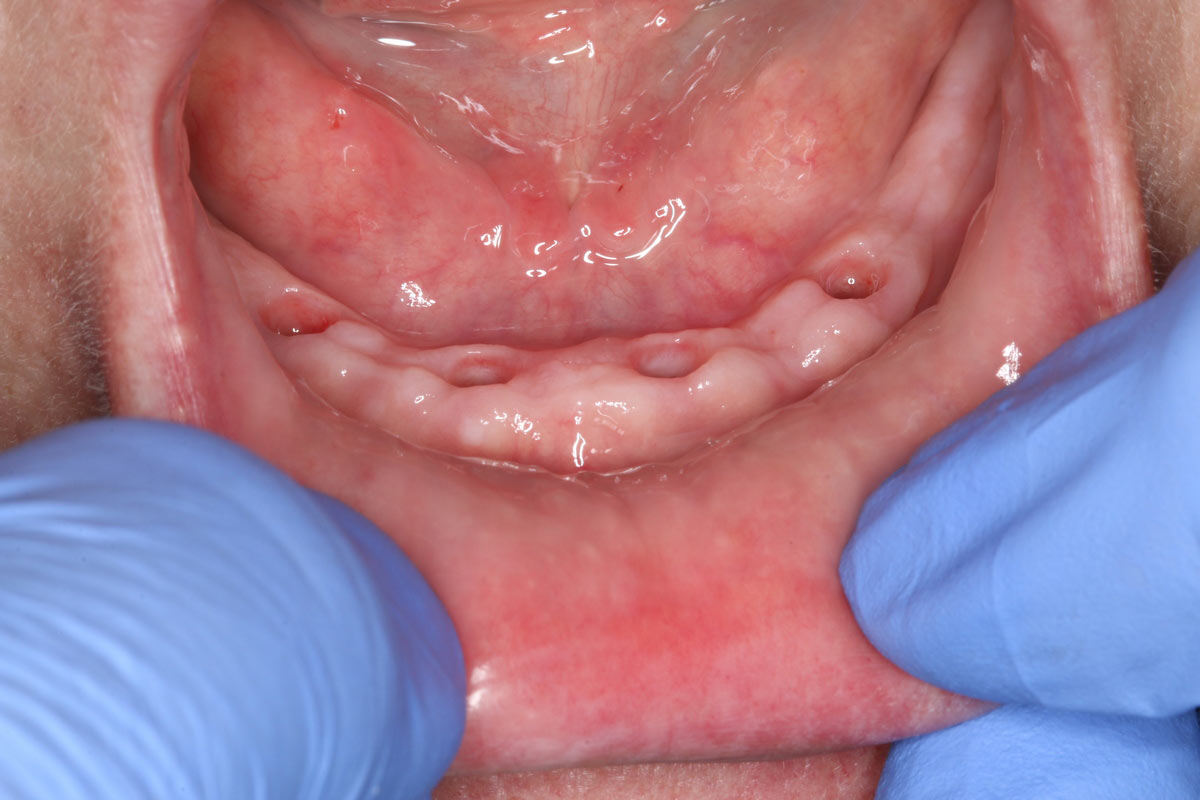
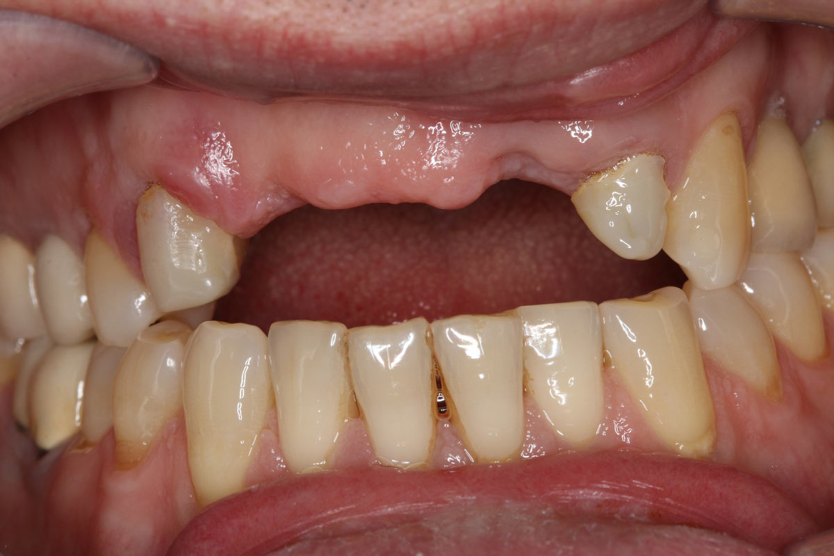
Работы врача